Zu Hauptinhalt springen

Fötale Programmierung der Fruchtbarkeit

Projekt: Fötale Programierung der Ovarialfunktion: Rolle der Makrophagen



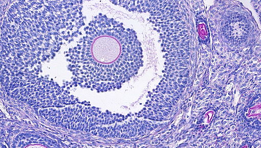
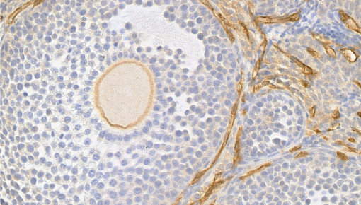
Entscheidene Meilensteine der Eierstockentwicklung finden beim Menschen pränatal und bei Mäusen perinatal statt, wie z. B. die Bildung des weiblichen Keimzellenpools. Die Keimzellen und die sie umgebenden spezialisierten Stromazellen bilden die Follikel, die für den Eisprung verantwortlich sind und eine Hauptquelle für Sexualhormone während des weiblichen Fortpflanzungslebens darstellen. Wichtig ist, dass fein abgestimmte Immunreaktionen die normale Follikulogenese, den Eisprung und die Bildung und Rückbildung des Gelbkörpers entscheidend unterstützen. So regulieren Makrophagen in den Eierstöcken diskrete Umbau- und Gefäßbildungsprozesse, die den Zugang der Follikel zu Nährstoffen und Steroidsubstraten und den Austritt von Hormonen in den Blutkreislauf sicherstellen.

Immer mehr Hinweise deuten darauf hin, dass eine schlechte postnatale Fruchtbarkeit auf fetale Programmierungsereignisse zurückzuführen sein könnte, die während des intrauterinen Lebens der Nachkommen auftreten. In unserem Labor stellen wir die Hypothese auf, dass Schwangerschaftsinsulte Entzündungsprogramme in den Immunzellen der Gonaden einschalten, was sich auf die Organentwicklung und die postnatale Funktion auswirkt. In diesem Zusammenhang untersuchen wir derzeit die pränatale Exposition gegenüber:

(1) Acetaminophen (Paracetamol),

(2) Androgenen, die die Nachkommenschaft dazu programmieren, polyzystisches 

     Ovarialsyndrom-ähnliche Merkmale zu entwickeln.



Gerne unterstützen wir Sie bei der Erstellung Ihrer Master- oder Doktorarbeit in den Bereichen der humanen oder experimentellen Geburtshilfe.

News


Ansprechpartner

Univ.-Prof. Dr. Maria Emilia Solano

Dr. Maria Victoria Bazzano