Go to content

Fetal programming of fertility

Project: Fetal programming of ovarian function: role of macrophages



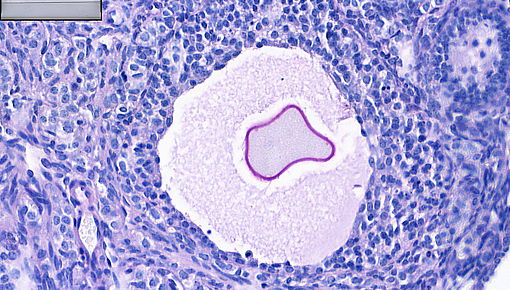
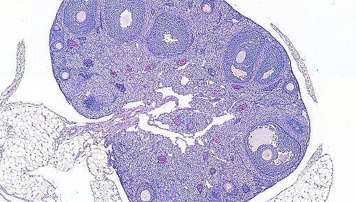
Prenatally in humans and perinatally in mice milestones of ovarian development as critical as the formation of the female’s pool of gametes take place. The gametes and the surrounding specialized stromal cells form the follicles, responsible for ovulation and a main source of sex hormones during the female reproductive life. Importantly, fine-tuned immune responses critically support normal folliculogenesis, ovulation and corpus luteum formation and regression. For example, ovarian macrophages regulate discrete remodelling and vascularization processes that ensure the access of follicles to nutrients and steroid substrates and the egress of hormones into the circulation. 
Accumulating evidence indicates that poor postnatal fertility may result from fetal programming events, occurring during offspring’s intrauterine life. In our lab, we hypothesize that gestational insults switches on inflammatory programs in gonadal immune cells, with consequences for organ development and postnatal function. In the context we currently investigate prenatal exposure to:

(1) acetaminophen (paracetamol),

(2) androgens, that program the offspring to develop polycystic ovary syndrome - like features.



We are happy to welcome you in our team to carry out your master's or doctoral thesis research in the field of human or experimental obstetrics.

News


Contact person

Univ.-Prof. Dr. Maria Emilia Solano

Dr. Maria Victoria Bazzano