Bandscheiben sind die weichen und elastischen Stoßdämpfer unserer Wirbelsäule. Sie sitzen zwischen allen Hals-, Brust- und Lendenwirbelkörpern. Eine gesunde und junge Bandscheibe kehrt aus jeder Verformung wieder zurück in ihren ursprünglichen Zustand.

Im Laufe des Lebens verliert die Bandscheibe jedoch Wasser und büßt an Elastizität ein. Sie wird quasi plattgedrückt. Und anders als andere Gewebe unseres Körpers können sich Bandscheiben nicht regenerieren.
Bei einem Bandscheibenvorfall schieben sich dann verschlissene Gewebestücke in den Wirbelkanal vor. Also in den Raum, in dem das Rückenmark und die Nervenwurzeln verlaufen.

Großer Bandscheibenvorfall L4 / L5 im MRT-Bild.
Das Bandscheibengewebe ist nach hinten in den Wirbelkanal vorgetreten und drückt auf eine Nervenwurzel.
Doch die Wirbelsäule ist weit mehr als nur die Bandscheiben. Sie bildet das Rückgrat der Körperhaltung und schützt im Wirbelkanal Rückenmark und Spinalnerven.
Ihr Verschleiß führt auch zu Verknöcherungen, die wiederum Platz beanspruchen. Das nennt man Spinalkanalstenose. Bei schwerem Verschleiß kann es zu Verformungen (in der Fachsprache „Deformitäten“) kommen, z.B. einem „Buckel“ oder einer „Skoliose“.
Fehlformen können aber auch angeboren sein, wie das „echte Wirbelgleiten“.

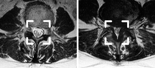
Links: Normaler Spinalkanal
Rechts: Deutliche Einengung des Spinalkanals
Wie andere Knochen auch, können Wirbel brechen. Sie tun dies bei Unfällen. Viele Wirbelbrüche sind aber Folge einer Osteoporose – also einer verminderten Knochenhärte, so dass die Wirbel manchmal sogar ohne jeden Anlass brechen können.
Unsere Wirbelsäulenspezialistinnen und -spezialisten an der Klinik für Orthopädie der Universität Regensburg schauen genauer hin. Sie kennen die ganze Breite des Faches, um Ihnen bestmöglich zu helfen.

Ihre persönliche Untersuchung ist die Grundlage für die weitere Therapie. Wir erfragen dabei Ihre Beschwerden. Wir untersuchen Sie klinisch, also mit unseren Händen, unseren Augen etc.

Dann entscheiden wir, welche Bildgebung es braucht. In der Wirbelsäulenbehandlung ist das meist ein Röntgenbild (im Stehen), um die Stellung der Knochen unter Last zu bewerten. Und dann oft die Magnetresonanztomographie - kurz MRT oder Kernspin. Denn darin lassen sich Veränderungen an den Weichteilen und Beeinträchtigungen der Nerven besonders gut erkennen. Besondere Verfahren wie CT, SPECT, DEXA, Myelografie u.v.a. können hinzutreten.
Besonderen Wert legen wir in unserer universitären Wirbelsäulenabteilung auf den interdisziplinären Blick: Die Fachbereiche der Orthopädie sind hier eng verzahnt. Viele Patientinnen und Patienten zeigen Symptome an der Wirbelsäule und an z.B. großen Gelenken. Wir untersuchen Sie bei Bedarf gemeinsam mit weiteren Spezialistinnen und Spezialisten, um Ihrem speziellen Fall gerecht zu werden.
Da der Wirbelkanal rundherum im Wesentlichen knöchern begrenzt ist, können die empfindlichen Nervenbahnen bei Druck nicht ausweichen. Jede Verengung, ob durch einen Bandscheibenvorfall oder Verkalkungen wie bei der Spinalkanalstenose oder im Rahmen einer Wirbelsäulendeformität (also einer Verformung), kann die durchziehenden Nerven irritieren. Und auch die Wirbelsäulengewebe selbst führen ja Schmerznerven. Es entstehen starke Rücken- oder Nackenschmerzen, oft begleitet durch Ausstrahlung in ein oder seltener in beide Beine bzw. Arme. Der Ort der Schmerzausbreitung hängt davon ab, welcher Nerv in welchem Wirbelsäulen-Abschnitt gequetscht wird. Unsere Rückenspezialisten in der Sektion Wirbelsäule können das erkennen.

In den meisten Fällen kann auch ein Bandscheibenvorfall oder eine Spinalkanalstenose ohne Operation behandelt werden. Es stehen vielfältige Maßnahmen zur Verfügung. Sie alle zielen darauf, den Schmerz zu bekämpfen und die Wirbelsäulen-Nerven unempfindlicher zu machen. Medikamente, auch als fachärztliche Injektionen direkt an die Wirbelsäule, Physiotherapie, auch Lagerung und Hilfsmittel, und fallweise psychologische Verfahren wie das autogene Training u.v.a. wirken zusammen. „Das Ganze ist mehr als die Summe der Teile.“ Ein solches Zusammenwirken unterschiedlicher Ansätze zum gemeinsamen Ziel nennt man in der Medizin „multimodal“ (multimodale Schmerztherapie).

Rückentraining im Bewegungsbad
Wir können eine solche Behandlung ambulant einleiten. In schwereren Fällen können wir auch eine stationäre Behandlung anbieten. Diese stationäre Schmerztherapie inkl. orthopädischer Injektionen (MIT/MMST) hat in Bad Abbach eine lange, bewährte Tradition. Als universitäre orthopädische Abteilung begleiten wir das Konzept fundiert und entwickeln es stetig weiter.
Rückentraining mit Würfellagerung zur Kräftigung der Muskulatur
In einigen Fällen kann der Prozess der Schmerzrückführung jedoch nicht abgewartet werden. Oder die Symptome lassen sich ohne Operation nicht ausreichend lindern. Oder die Symptome kehren doch nach kurzer Zeit wieder.
Wenn gedrückte Nerven abzusterben drohen, spürt man z.B. eine Berührung an Arm oder Bein nur noch dumpf oder gar nicht mehr. Es können auch Lähmungen resultieren, z.B. kann der Fuß nicht mehr angehoben werden.
Auch Störungen der Schließmuskelfunktion an Blase oder After können auftreten. Dies bedeutet eine echte Notfallsituation. Dann gilt es, die Nerven möglichst schnell durch eine Operation zu entlasten.
Unsere Notaufnahme der Hochschulambulanz ist 24 Stunden am Tag, 7 Tage die Woche geöffnet. Im Notfall kommen Sie bitte umgehend zu uns.
In unserer universitären orthopädischen Wirbelsäulenabteilung können wir auf die Breite der chirurgischen Möglichkeiten zurückgreifen, um passgenau für Ihre Erkrankung den besten Weg zu beschreiten. Eine jede Operation soll so groß wie nötig, aber immer so klein wie erfolgversprechend möglich gewählt sein.
Manchmal genügt eine Schmerznerven-Verödung in örtlicher Betäubung (RFD). In günstiger Konstellation können wir Vorfälle und Engstellen endoskopisch beseitigen.

Thermosonden an den Facettengelenken
Die mikroskopische Wirbelsäulenchirurgie befreit gedrückte Nerven in allen Wirbelsäulenabschnitten. Wenn die eingetretene Deformität einen wesentlichen Beitrag zu Ihrem Leiden leistet, ist eine Fusionsoperation die beste Wahl. Man schafft einen künstlichen Blockwirbel, wie ihn auch die Natur selbst manchmal bietet.

Blick in den OP: Die Arbeit am OP-Mikroskop ermöglicht den Chirugen höchste Präzision bei Wirbelsäuleneingriffen
Gerade bei solchen Operationen ist es wichtig, dass wir in allen Wirbelsäulenabschnitten wann immer sinnvoll minimalinvasiv arbeiten können. Dies gilt besonders auch für die Traumatologie der Wirbelsäule: Wirbelbrüche brauchen je nach Ursache und Ausmaß ganz verschiedene Herangehensweisen – von der Kyphoplastie und der perkutanen Instrumentation und Verbundosteosynthese v.a. beim älteren Menschen, bis hin zum Wirbelkörperersatz an Hals-, Brust- und Lendenwirbelsäule, wenn ein Wirbel vollständig zertrümmert ist. Und in ausgesuchten Fällen ist auch an der Wirbelsäule der Einsatz von Endoprothesen die beste Wahl. Hier schließt sich dann der Kreis zum Endoprothetik-Zentrum der Maximalversorgung.
Moderne Operationsverfahren zielen alle auf die Frühmobilisation spätestens am 1. Tag nach der Operation. Nach 2 bis ca. 7 Tagen gehen die meisten Patientinnen und Patienten nach Hause.
Bei größeren Operationen oder nach einer langen Leidensgeschichte ist oft eine mehrwöchige intensive Nachbehandlung das Beste – eine sogenannte Anschlussheilbehandlung (AHB). Wenn diese bei Ihnen stationär erfolgen soll, können sie oft in der REHA-Abteilung des hiesigen orthopädischen Zentrums weiterbehandelt werden. Dann geht die Behandlung Hand in Hand, und Ihre Operateurin oder Ihr Operateur ist für Rücksprachen nicht weit!