Die Hochschulambulanz für Kinderorthopädie Bad Abbach ist auf die Diagnose, Behandlung und langfristige Betreuung von Kindern und Jugendlichen mit orthopädischen Erkrankungen spezialisiert. Als universitäre Einrichtung legen wir besonderen Wert auf eine wissenschaftlich fundierte, individuell angepasste und kindgerechte Versorgung.
Wir bieten eine umfassende Diagnostik und Therapie für eine Vielzahl kinderorthopädischer Krankheitsbilder:
In unserer Hochschulambulanz steht das Wohl unserer jungen Patientinnen und Patienten im Mittelpunkt. Durch eine enge Zusammenarbeit mit Kinderärzten, Physiotherapeuten, Orthopädietechnikern sowie Sozialpädiatrischen Zentren bieten wir eine bestmögliche Versorgung – mit dem Ziel, Mobilität und Lebensqualität nachhaltig zu verbessern.
Unzureichend ausgebildete Hüftgelenke bei Säuglingen, auch als Hüftgelenkdysplasie bekannt, können zu schwerwiegenden Problemen wie Gelenkverformungen, vorzeitigem Gelenkverschleiß, eingeschränkter Gehfähigkeit und Schmerzen führen. Diese Störung tritt in Mitteleuropa bei 2–4 % der Geburten auf, ist jedoch in Ostbayern häufiger.
Ein schnelles Erkennen und eine rasche Behandlung der Hüftdysplasie direkt nach der Geburt ist entscheidend. Wenn die Störung frühzeitig erkannt wird, kann sich das Hüftgelenk noch normal entwickeln. Deshalb sollten die Hüftgelenke eines jeden Säuglings per Ultraschall untersucht werden.
Besondere Vorsicht bei:
Falls die Reifungsverzögerung früh diagnostiziert wird, kann der Hüftkopf mit speziellen Schienen in die richtige Position und die Hüftpfanne zur Nachreifung gebracht werden. Diese Schienen ermöglichen es dem Kind weiterhin zu strampeln und fördern das natürliche Wachstum des Gelenks. In den meisten Fällen wird dadurch eine Operation vermieden.

In Zusammenarbeit mit dem Krankenhaus St. Josef in Regensburg sowie in unserer Kindersprechstunde bieten wir in den ersten Lebenstagen ein Screening an. Neben Ultraschall können auch Bewegungseinschränkungen oder Asymmetrien der Hautfalten auf eine Störung hinweisen.
Unser Ziel: Eine frühzeitige Diagnose und konservative Behandlung, um wenn möglich eine Operation zu vermeiden und die normale Entwicklung des Hüftgelenks zu fördern.
Fußfehlstellungen werden in den meisten Fällen bereits bei der U1 oder im Rahmen der U2 durch den Kinderarzt festgestellt.
Der Klumpfuß ist eine komplexe Fehlstellung des Fußes, die eine frühzeitige Behandlung erfordert, idealerweise direkt nach der Geburt.
Zur Korrektur wird der Gips nach der Ponseti-Methode angelegt, bei der im weiteren Verlauf das Durchtrennen der Achillessehne notwendig ist. Anschließend erfolgt eine Schienenbehandlung in den ersten vier Lebensjahren, um eine dauerhafte Korrektur des Fußes zu erreichen.
Wir beraten die Familien ausführlich bei der Erstvorstellung, gerne auch schon in der Schwangerschaft, wenn ein Klumpfuß in der Sonographie festgestellt wird.


Der kindliche Knick-Senk-Fuß führt häufig zu Arztbesuchen, wobei es sich aber in den meisten Fällen um eine altersentsprechende Normvariante handelt. Es wird zwischen einem flexiblen und einem rigiden Knick-Senk-Fuß unterschieden. Der flexible Knick-Senk-Fuß ist in der Regel gutartig und kann durch aktives und passives Korrigieren verbessert werden.
Bei fehlendem Behandlungserfolg und fortschreitender Schmerzsymptomatik kann ab dem 10. Lebensjahr eine „kleine“ operative Therapie in Betracht gezogen werden. Eine gängige Methode ist die subtalare Arthrorise, bei der durch eine Schraube eine Blockade der Bewegung im unteren Sprunggelenk erzielt wird. Dies führt zu einer dauerhaften Korrektur der Fehlstellung.
In unserer kinderorthopädischen Hochschulambulanz in Regensburg bieten wir eine umfassende Untersuchung und Beratung, um gegebenenfalls eine Therapie einzuleiten.
Unser Ziel: Frühzeitige Diagnose und Therapie zur Ausbildung eines gesunden Fußes.


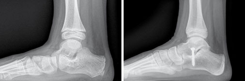
Röntgenbild eines Knick-Senk-Fußes vor und am Ende der Behandlung (Arthrorise)
Die Skoliose ist eine dreidimensionale Verkrümmung der Wirbelsäule, die meist schmerzfrei verläuft und daher oft erst spät erkannt wird. Erste Anzeichen sind eine ungleichmäßige Taillenform oder eine beginnende Rückenasymmetrie.
Es gibt verschiedene Formen der Skoliose:

14-jährige Patientin mit adoleszenter Skoliose. Der Rippenbuckel wird deutlich, wenn sich die Patientin nach vorn beugt. Dazugehöriges Röntgenbild der Patientin in der Ansicht von hinten, also gespiegelt.
Eine frühzeitige Diagnose ist entscheidend: Mit gezielter Krankengymnastik, geeigneten Sportarten und individuell angepassten Korsetten kann in über 95 % der Fälle eine Operation vermieden werden. Die Therapie nutzt das Wachstum, um die Wirbelsäule sanft zu korrigieren – ähnlich wie bei der Behandlung von Klumpfüßen oder Hüftfehlbildungen im Säuglingsalter.
In unserer regelmäßigen Skoliose-Sprechstunde untersuchen wir jeden Fall individuell und stimmen die Therapie auf das Wachstum und den Schweregrad ab. Während in vielen Fällen Bewegungstherapie und Sport ausreichen, kann bei stärkeren Verläufen ein Korsett nötig sein. Nur in seltenen, fortgeschrittenen Fällen wird eine Operation in Betracht gezogen.

[1] Verkrümmung der Wirbelsäule - [2,3] Orthesenversorgung als Wachstumslenkung - [4] Ergebnis der Wirbelsäulenaufrichtung - [5] Behandlungsergebnis: Gerader Rücken
Neben Röntgenaufnahmen nutzen wir eine 3D-Oberflächenvermessung als strahlungsfreie Methode, die den Wirbelsäulenverlauf sichtbar macht. Dabei wird ein Lichtstreifenraster auf den Rücken projiziert, das per Kamera erfasst und in ein dreidimensionales Modell umgerechnet wird. So können Haltungsveränderungen detailliert analysiert und Behandlungserfolge sichtbar gemacht werden. Hierdurch lässt sich die Strahlenbelastung reduzieren. Diese moderne Technik hilft uns, Behandlungen präzise anzupassen – für eine schonende und effektive Therapie.

3D Scan der Wirbelsäule
Unser Ziel: Eine frühzeitige und gezielte Behandlung, um Kindern und Jugendlichen eine bleibende Fehlstellung oder gar eine Operation zu ersparen.
Die natürliche Entwicklung des kindlichen Bewegungsapparates verläuft in der Regel über verschiedene Stadien: Säuglinge haben zunächst physiologisch O-Beine, die sich im Verlauf des Wachstums im Kindergartenalter bis etwa zum 10. Lebensjahr in X-Beine umwandeln. Nach dem Wachstumsschluss sind die Beine in der Regel gerade.
Wichtige Ursachen für Beinlängendifferenzen und Achsabweichungen wie O- und X-Beine sind oft einfach behandelbar. In der kinderorthopädischen Sprechstunde erfolgt eine gründliche Untersuchung, um die Ursache genau zu bestimmen. Häufig sind keine Eingriffe notwendig, da sich die Beinachsen im Wachstum von selbst korrigieren.
In den meisten Fällen ist eine frühzeitige und schonende Behandlung möglich, die bei Bedarf mit den Eltern und dem Kind individuell besprochen wird.
Unser Ziel: Eine individuelle Beratung und schonende Behandlung, um eine gesunde Beinachse und schmerzfreie Mobilität zu gewährleisten.

Röntgenbild nach einer Epiphyseodese. Die Wachstumsfugen werden an der Knieinnenseite blockiert, so dass die Aussenseite weiter wachsen kann und somit die Beinachsen wieder gerade werden.

Typisches Beispiel vor und nach Behandlung von X-Beinen durch temporäre Epiphyseodese
Neuroorthopädische Krankheitsbilder betreffen Kinder, bei denen die Bewegungssteuerung und Haltung durch neurologische Ursachen beeinträchtigt sind. Häufige Symptome wie Spastik (eine Tonuserhöhung der Muskulatur) treten bei neurologischen Erkrankungen wie der Zerebralparese auf. Diese führen zu Bewegungsstörungen, Gelenkversteifungen und Fehlhaltungen, was zu Spitzfüßen, Hüftluxationen, Skoliosen und eingeschränkter Mobilität führen kann. Ohne gezielte Behandlung können diese Symptome die körperliche Entwicklung erheblich einschränken und zu langfristigen funktionellen Defiziten führen.
Die Behandlung umfasst eine frühzeitige Betreuung, gezielte Beratung zur Hilfsmittelversorgung, wie z.B. Orthesen, und in einigen Fällen auch operative Maßnahmen, um die Bewegungsfreiheit und Funktionalität der Gelenke zu verbessern. Ein wesentlicher Bestandteil der Therapie ist der kontrollierte Einsatz von Botox (Botulinum-Toxin A), der den Muskeltonus reguliert und dem Kind ermöglicht, Bewegungen besser auszuführen. Dabei streben wir an, die Lebensqualität der betroffenen Kinder nachhaltig zu verbessern und ihnen eine möglichst normale körperliche Entwicklung zu ermöglichen.
Unser Ziel: Durch frühzeitige neuroorthopädische Behandlung die Beweglichkeit zu verbessern, funktionelle Einschränkungen zu minimieren, Operationen hinauszuzögern und, wo möglich, zu vermeiden.
Damit Ihr Kind optimal versorgt wird, legen wir in der Hochschulambulanz für Kinderorthopädie Bad Abbach großen Wert auf eine strukturierte und kindgerechte Untersuchung.
Terminvereinbarung erfolgt telefonisch (09405-182407) oder online.
Bitte bringen Sie bereits vorhandene Befunde, Röntgenbilder oder Arztbriefe mit.
Anmeldung in der Hochschulambulanz. Unser Team steht Ihnen für Fragen zur Verfügung.
Anamnese: Zunächst besprechen wir die Krankengeschichte, Beschwerden und bisherige Therapien.
Untersuchung: Eine gründliche kinderorthopädische Untersuchung erfolgt je nach Fragestellung mit speziellen Tests zur Beweglichkeit, Kraft und Haltung.
Falls notwendig, erfolgen Ultraschall sowie Röntgen oder weitere Untersuchungen direkt bei uns oder in Kooperation mit der Radiologie.
Nach der Untersuchung erklären wir Ihnen verständlich die Diagnose und mögliche Behandlungsmöglichkeiten. Wir legen gemeinsam den weiteren Therapieplan fest – ob ein abwartendes Verhalten, Physiotherapie, Schienenversorgung oder eine operative Maßnahme notwendig ist.
Sollte eine Operation notwendig sein, erfolgt eine umfassende Aufklärung über den Eingriff, mögliche Risiken und den postoperativen Verlauf. Den Operationstermin und den Vorbereitungstermin können Sie gemeinsam mit den Mitarbeiterinnen in der OP-Planung festlegen.
Für operative Eingriffe ist die schriftliche Einwilligung aller Erziehungsberechtigten erforderlich.
Die Operationen werden von unserem kinderorthopädischen Team durchgeführt. Unsere erfahrenen, auf Kinder eingestellten Anästhesisten sorgen für eine besonders einfühlsame Betreuung und anschließend sorgt das Stationsteam für eine optimale Versorgung. Kleine Patienten können dabei von ihren Eltern begleitet werden.
Nach dem Eingriff erfolgt die engmaschige Nachsorge mit Wundkontrollen, Physiotherapie und weiteren Verlaufskontrollen.
Bei Bedarf planen wir Folgetermine für Verlaufskontrollen oder weiterführende Therapien. Unser Ziel ist eine langfristige Betreuung für eine gesunde Entwicklung Ihres Kindes.