Zu Hauptinhalt springen

Endoprothesen des Hüftgelenks

Spacer 5

Indikation

Der häufigste Anlass zum Ersatz des Hüftgelenks ist die Hüftarthrose. Hierbei ist der Knorpelüberzug von Hüftkopf und Hüftpfanne abgerieben. Im Zeitverlauf verliert das Gelenk seine Passform, der Knochen bildet an den Rändern knöcherne Anbauten und es entstehen Abriebprodukte, die zunehmend Schmerzen verursachen. Neben den anlagebedingten degenerativen Verschleißerscheinungen und der Hüfteinklemmung stellt die Hüftdysplasie eine häufige Ursache der Arthrose dar, welche bereits im frühen Lebensalter eine operative Versorgung nach sich ziehen kann. Es liegt hierbei eine angeborene Fehlstellung der Hüftpfanne vor. Ferner kann ein Unfall mit Zerstörung der Hüftpfanne oder des Hüftkopfes, zur Ausbildung einer Hüftarthrose führen.

Bei beginnenden Beschwerden im Bereich des Hüftgelenks kann häufig noch mit konservativen Maßnahmen geholfen werden. Hierzu gehört eventuell eine Gewichtsreduktion, weil Übergewicht eine erhebliche zusätzliche Belastung für das Gelenk bedeutet. Des Weiteren kann die Gehbelastung durch einen Gehstock oder durch Pufferabsätze in den Schuhen reduziert werden. Auch die Einnahme antientzündlicher und schmerzunterdrückender Tabletten kann eine Beschwerdelinderung bringen. Ergänzt werden kann die medikamentöse Therapie durch die direkte Verabreichung von entzündungshemmenden Medikamenten in das Hüftgelenk. Eine sehr große Bedeutung für die Schmerzlinderung und Verbesserung der Beweglichkeit hat die krankengymnastische Therapie.

Bei der ambulanten Vorstellung werden der Operationsablauf und die Behandlung danach besprochen. Danach erfolgt die Planung der Operation (OP-Termin, Vorbereitungen zur OP, Prothesensystem etc.).

TOP


OP-Verfahren

In unserem Hause wird das gesamte Spektrum der modernen Hüftendoprothetik angeboten. Je nach Einzelfall kommen zementierte Hüftprothesensysteme (Pfanne und Hüftschaft werden einzementiert) oder zementfreie Systeme (zementfreie Verankerung der Pfanne und des Hüftschaftes) zum Einsatz. Für alle von uns verwendeten Standard-Prothesensysteme liegen vorteilhafte Langzeituntersuchungen vor, so dass unsere Patienten mit hoher Produktqualität rechnen können.

In geeigneten Fällen werden Hüftendoprothesen in sogenannter "minimal-invasiver" OP-Technik eingesetzt, und zwar sowohl zementfreie als auch zementierte Modelle. Vorteile hierbei sind der kleinere Hautschnitt und die Präparation.

TOP


Spektrum Hüftendoprothetik

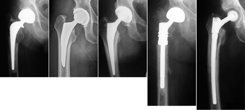
Hüftendoprothesen im Röntgenbild

Im Röntgenbild: Beispiele einer Versorgung mit Hüftendoprothese


Nachsorge

Bereits am Tag der Operation stehen unsere Patienten unter Anleitung unseres Physiotherapie-Teams auf. Nach wenigen Tagen sind Sie gewöhnlicherweise soweit mobil, dass Sie sich schon selbst im Bad versorgen können. Nach vier bis fünf Tagen kann eine stationäre oder ambulante Rehabilitationsbehandlung angeschlossen werden. Dort werden nach vierzehn Tagen auch die Hautnähte entfernt. Mit unserer OP Technik ist im Regelfall eine direkte Vollbelastung des neuen Gelenks möglich. Stöcke können falls gewünscht anfänglich zur Sicherheit verwendet werden.

TOP


  1. Fakultät für Medizin

Klinikprofil

Unser Leistungsspektrum

Da Vinci

Terminvergabe
Hochschulambulanz

Telefon 09405 18-2407

Online-Terminbuchung