Unter dem Begriff Hallux rigidus – wörtlich steife Großzehe – erschließt sich erst auf den zweiten Blick das Krankheitsbild der Großzehengrundgelenksarthrose. Die Namensgebung erfolgt aufgrund der krankheitsbedingten Einschränkung der Beweglichkeit der Großzehe im Metatarsophalangealgelenk 1 (MTP-1), die sich initial vor allem in einer reduzierten Dorsalextensionsfähigkeit (Streckfähigkeit) niederschlägt.

Patientin mit Großzehengrundgelenksarthrose vor der OP klinisch und im Röntgenbild
Die schmerzhaft eingeschränkte Beweglichkeit des MTP 1-Gelenks in Dorsalextension sowohl im belasteten als auch unbelasteten Zustand sind die Hauptbeschwerden des Hallux rigidus-Patienten. Oft können die dorsalen Osteophyten als „dorsaler Kranz“ palpiert werden und bereiten zusätzliche Beschwerden beim Tragen von Schuhwerk. Druckschmerz am Metatarsale-Köpfchen 1 ist auslösbar.

Eine grobe Unterteilung der OP-Techniken lässt sich in gelenkerhaltende und gelenkresezierende Verfahren treffen.
Bei der Cheilektomie kommt es zur Abtragung von knöchernen Anbauten und von bewegungsbehindernden Gelenkanteilen, so dass die Beweglichkeit des Gelenks wieder verbessert wird. Dieses Verfahren kann nur im Frühstadium der Arthrose angewendet werden.

Cheilektomie: schematische Darstellung von der Seite

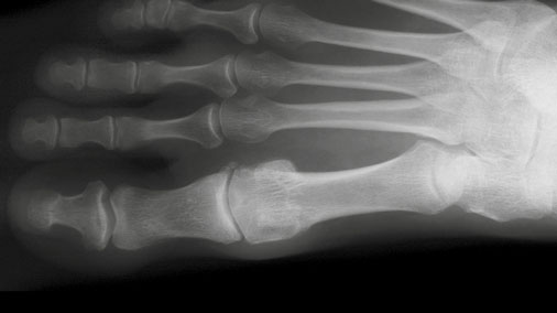
Cheilektomie: Hallux rigidus nach Operation im Röntgenbild
Bei fortgeschrittenen degenerativen Veränderungen bietet sich die Versteifung (Arthrodese) des Großzehengrundgelenks an. Die alternativen Verfahren wie Resektionsinterpositionsarthroplastik (Entfernung der Großzehengrundgliedbasis) und Einbau einer Prothese werden zum jetzigen Zeitpunkt kritisch betrachtet und sollten nur in Ausnahmefällen angewendet werden.

Arthrodese des Großzehengrundgelenks:Hallux rigidus nach Operation im Röntgenbild, rechts das Implantat am Modell