Der Hallux valgus, auch als Ballenzehe bekannt, ist eine Abweichung der großen Zehe aus seiner natürlichen Stellung. Dabei kommt es zu einer Abweichung der Zehe nach außen und des Mittelfußköpfchens nach innen, was zu einem schmerzhaften Knochenvorsprung an der Innenseite führt. Durch die Abweichung können auch die anderen Zehen verdrängt werden. Teilweise stehen die Zehen dann über- oder untereinander.

Patientin mit ausgeprägter Ballenzehe vor und 40 Tage nach Operation
Der Hallux valgus hat Einfluss auf die Gewichtsverteilung des gesamten Fußes. Die große Zehe übernimmt zu wenig Last, wohingegen es zu einer Überlastung der Kleinzehen kommt. Der Abrollvorgang des Fußes wird beeinträchtig und die Folgen sind Schmerzen am Fuß.
Die Entstehung eines Hallux valgus ist meist multifaktoriell bedingt. Der Hallux valgus kann z.B. angeboren sein, es können genetische Komponenten bestehen oder eine entzündliche Erkrankung, wie z.B. eine rheumatoide Arthritis zugrunde liegen.
Am Anfang bereitet der Hallux valgus in der Regel keine oder kaum Beschwerden. Zunächst wird die Fehlstellung nur als kosmetisch störend empfunden. Im Laufe der weiteren Entwicklung können sich jedoch lokale Schmerzen und Entzündungen über dem Großzehengrundgelenk entwickeln. In fortgeschrittenen Stadien kann die Fehlstellung die Beweglichkeit der Zehe einschränken. Eine unbehandelte Fehlstellung kann zu einem Verschleiß (Arthrose) des Gelenkes führen.
Die Therapie richtet sich nach dem Schweregrad der Fehlstellung und den individuellen Beschwerden.
Bei mäßig ausgeprägten Fehlstellungen erfolgt die Operation nach Chevron. Dabei wird das Mittelfußköpfchen des ersten Strahls v-förmig durchtrennt, in die Korrekturposition verschoben und mit einer kleinen Schraube befestigt. Der knöcherne Überstand wird abgetragen. Zusätzlich erfolgen auch Korrekturmaßnahmen an den Weichteilen.

Operation nach Chevron, schematische Darstellung von der Seite

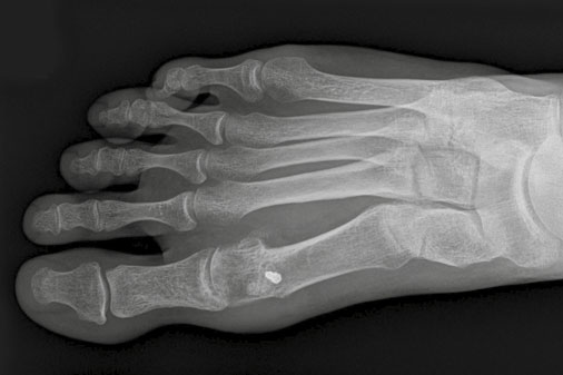
Hallux valgus nach Chevron-Operation im Röntgenbild
Bei stärkerer Fehlstellung wird die Operation nach Scarf angewendet. Durch den über eine lange Strecke verlaufenden Sägeschnitt ist das Korrekturpotential größer, die langflächige knöcherne Kontaktstrecke bietet eine gute Voraussetzung für eine optimale Knochenheilung. Bei der basisnahen Umstellung erfolgt eine Neuausrichtung der Achse des ersten Strahls im Bereich der Basis des Mittelfußknochens.

Operation nach Scarf, schematische Darstellung von der Seite

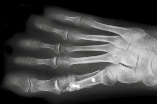
Hallux valgus nach Scarf-Operation im Röntgenbild
Besteht eine ausgeprägte Instabilität im Bereich der Basis des ersten Mittelfußknochens an seinem gelenkigen Übergang zu den Fußwurzeln (TMT-1-Gelenk), muss zur Korrektur und Stabilisierung dieses Gelenk bei den operativen Maßnahmen mit einbezogen werden, ansonsten droht ein Rezidiv. Diese als Lapidus-Operation bezeichnete Technik beinhaltet die Stellungskorrektur dieses Gelenks und anschließende Fixierung in dieser neuen Position. Durch Anbringen des Plättchens von unten (fußsohlenseitig) wird eine hohe biomechanische Stabilität erreicht. Da die Beweglichkeit dieses Gelenks nur sehr gering ist fällt eine Versteifung funktionell fast nicht ins Gewicht.

Operation nach Lapidus, fußsohlenseitige (plantare) Plattenfixierung.
Bildquelle: Arthrex GmbH

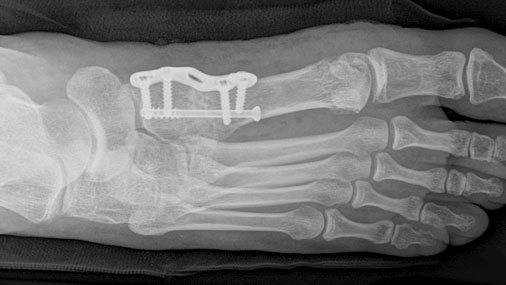
Hallux valgus nach Lapidus-Operation im Röntgenbild
Bei stärkerer Fehlstellung oder wenn zusätzlich auch eine Verkrümmung innerhalb der Großzehe (Hallux valgus interphalangeus) vorliegt, kann eine Akin-Operation durchgeführt werden.

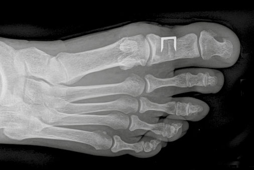
Hallux valgus nach Akin-Operation im Röntgenbild
Aufgrund der gerade bei Fußoperationen stark ausgeprägten Schwellungsneigung ist die konsequente Hochlagerung des Fußes in den ersten Tagen nach der Operation die wichtigste Maßnahme, die von Ihnen durchgeführt werden muss. Dabei muss der Fuß „über Herzhöhe sein“. In den ersten Tagen nach der Operation darf der Fuß für maximal 5 – 10 Minuten / Stunde nicht hochgelagert sein.
Bei der Kühlung muss darauf geachtet werden, dass kein direkter Hautkontakt mit dem Coolpack oder dem Eisbeutel auftritt, um Erfrierungen zu vermeiden. Ebenfalls sollte die Kühlung sehr häufig aber immer nur für eine Dauer von 5 – 10 Minuten erfolgen.
Sonnen- oder Wärmeexposition des operierten Fußes sollte bis zum Abschluss der Wundheilung vermieden werden.

Vorfußentlastungsschuh
In Abhängigkeit des gewählten Operationsverfahrens wird vom Operateur unter Berücksichtigung des Befundes während der Operation das Nachbehandlungsschema festgelegt.
In der Regel bedeutet dies das Tragen eines Vorfußentlastungsschuhs für 6 Wochen, die Zügelung der Zehe für 10 Wochen, physiotherapeutische Maßnahmen und Thromboseprophylaxe.
Um zu gewährleisten, dass der Knochen ohne Probleme zusammenwächst, wird Ihnen noch während des Aufenthalts in unserem Haus ein Vorfußentlastungsschuh ausgehändigt.