Die Arthrose des oberen Sprunggelenks kann die Lebensqualität erheblich beeinträchtigen. In Bad Abbach bieten wir eine moderne und wissenschaftlich fundierte Behandlungsmöglichkeit: die Implantation einer Sprunggelenk-Endoprothese. Sie stellt heute bei geeigneter Indikation eine echte Alternative zur Versteifung (Arthrodese) dar.

Die Sprunggelenksprothese erlaubt den Erhalt der natürlichen Beweglichkeit des Gelenks. Im Vergleich zur Versteifung ergeben sich daraus mehrere Vorteile:
Physiologisches Gangbild: Die Prothese ermöglicht eine bessere Bewegungsführung, insbesondere bei Dorsal- und Plantarflexion. Das erleichtert Alltagsaktivitäten wie Gehen auf unebenem Boden oder Treppensteigen.
Schonung der Nachbargelenke: Anders als bei der Versteifung müssen benachbarte Gelenke keine zusätzlichen Bewegungsanteile übernehmen. Dadurch sinkt das Risiko von Folgearthrosen im unteren Sprunggelenk oder im Knie.
Höherer Komfort im Alltag: Viele Patientinnen und Patienten berichten über eine verbesserte Mobilität und größere Zufriedenheit – vor allem im Vergleich zur eingeschränkten Beweglichkeit nach einer Arthrodese (Versteifung).
In unserer orthopädischen Klinik verfügen wir über langjährige Erfahrung in der Endoprothetik des Sprunggelenks. Zum Einsatz kommen ausschließlich moderne, bewährte Prothesenmodelle der neusten Generation mit hoher biomechanischer Funktionalität. Die Entscheidung für eine Prothese oder Versteifung wird immer individuell getroffen – auf Grundlage präziser Diagnostik, radiologischer Beurteilung und der persönlichen Lebenssituation unserer Patientinnen und Patienten.
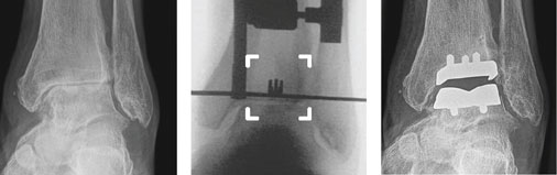
Patientin, 67 Jahre, 5 Monate nach operativer Versorgung mit Sprunggelenkimplantat

Von links nach rechts:
Sprunggelenk vor Implantation der Sprunggelenkprothese. Der Gelenkspalt ist
aufgehoben, der Knorpel ist abgerieben.
Anvisieren der Prothesenlage wie über Kimme und Korn mit dem Spezialinstrumentarium.
Durch moderne Präzisionsinstrumentarien wird die Sprunggelenksprothese millimetergenau implantiert.
Patienteninterview
Spacer
Beweglichkeit
Spacer